Add Row
Add Element
cropper
update
Hot Flash Pro
update
Add Element
  • Home
  • Categories
    • Perimenopause Symptoms
    • Hormone Health & HRT
    • Lifestyle & Wellness
    • Midlife Productivity & Mental Health
    • Product Reviews & Tools for Relief
    • Nutrition for Hormonal Balance
    • Fitness & Movement in Midlife
    • Sleep & Recovery
    • Personal Stories & Experiences
    • Alternative & Holistic Therapies
    • Menopause at Work & Career Transitions
    • Emotional Wellbeing & Mindfulness
    • Expert Q&As & Interviews
    • Skin
    • Hair & Body Changes
February 07.2026
2 Minutes Read

Exploring the Connection Between Menopause and Grey Matter Loss in Women

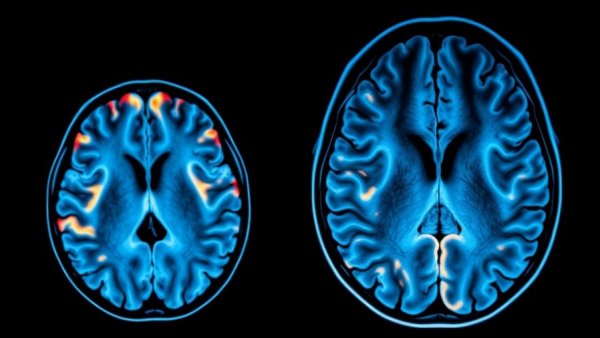
MRI scan illustrating menopause grey matter loss, colorful brain visualization.

Understanding Menopause's Impact on Brain Health

Menopause can significantly impact women's mental and cognitive health as new research reveals a concerning connection between menopause and grey matter loss in key brain regions. Conducted by scientists at the University of Cambridge, the study has revealed that as women transition through menopause, they may experience reductions in grey matter volume linked to critical cognitive functions such as memory and emotional regulation.

Anxiety and Depression After Menopause

Many women report heightened levels of anxiety and depression post-menopause. The study highlights a troubling trend: women in this stage are more likely than their pre-menopausal counterparts to seek help for mental health issues. Interestingly, even those who used hormone replacement therapy (HRT) did not show significant improvements in these conditions, suggesting that while HRT may offer some benefits, it doesn't counteract all menopausal mental health effects.

The Complicated Role of Hormone Replacement Therapy

While HRT is a popular treatment among women experiencing menopause, the research indicates that it does not fully mitigate the mental health challenges associated with this significant life stage. In fact, women undergoing HRT reported higher levels of fatigue. More importantly, it's crucial to note that many of these anxiety and depression symptoms may have existed prior to menopause, indicating a complex interplay between hormonal changes and pre-existing conditions.

Sleep Disturbances: A Common Concern

Sleep problems are another prevalent issue following menopause. The study found that post-menopausal women, particularly those on HRT, frequently reported insomnia and persistent fatigue, regardless of their total sleep duration. This fatigue can severely impact daily life, making coping with other menopausal symptoms even more challenging.

Future Links to Dementia Risks

Of considerable concern is the identified link between menopause and increased vulnerability to dementia. The grey matter regions affected during menopause are similar to those impacted by Alzheimer’s disease, suggesting that hormonal changes could potentially elevate women's risk for cognitive decline later in life. Understanding these neurological impacts could be crucial for long-term mental health strategies as more women navigate this transition.

Seeking Support During Menopause

As menopause is a universal experience for women, it’s vital to foster discussions around mental health and provide support. Maintaining a healthy lifestyle, including regular physical activity and a nutritious diet, can be beneficial during this transitional phase. Moreover, women should feel empowered to speak openly about their struggles, seek help, and advocate for their mental well-being. Recognizing that menopause affects both mental and physical health is an important step towards holistic care.

Hormone Health & HRT

0 Comments

Write A Comment

*
*
Related Posts All Posts
02.23.2026

Unlocking the Mystery of High Libido in Menopause: Discover Why It Happens

Update Is High Libido During Menopause Surprising? Not Anymore! When discussing menopause, the conversation often centers around hot flashes, mood swings, and other well-known symptoms that can make the transition challenging. However, a surprising fact emerges for some women—high libido can be experienced during this time! While it might seem counter-intuitive, understanding the factors behind this surge can help women embrace their evolving sexual desire. The Psychology Behind Libido Shifts in Menopause As noted by Dr. Suzanne Hall, OBGYN, many changes in libido are not strictly hormonal. Instead, they are greatly influenced by psychosocial factors. During menopause, women often find themselves with increased free time due to children growing up and leaving home. This newfound freedom may lead to rekindled relationships and enhanced intimacy between partners, potentially increasing sexual desire. In addition, as women age, self-esteem tends to rise. A 2018 analysis revealed that self-esteem peaks around age 60, which opens the door for many to feel more confident in intimate situations. Body confidence can create a positive mindset around sex, reinforcing the idea that your body still plays a vital role in your sexual identity. Practical Insights: Connecting Desire with Satisfaction Though an increase in libido can feel invigorating, it may come with its own set of challenges. Factors like dryness or discomfort due to the genitourinary syndrome of menopause can overshadow newfound desires. Dr. Stephanie McNally from Northwell’s Katz Institute for Women’s Health emphasizes that even with a high libido, women need to take care of their bodies. Solutions like using vaginal moisturizers or exploring lubricants can help make sexual experiences pleasurable rather than painful. Overcoming Stigmas: Embracing Change Many women do not feel comfortable discussing their shifting libido during menopause. There can be stigma surrounding the topic, making it hard to seek advice or understand that their experience is valid. By having open conversations with partners about preferences and emotional needs, women can create a more fulfilling sexual experience. Embracing this sexual reawakening can signify a new chapter in their lives, where libido is not just a symptom but an essential part of their identity. What Comes Next? Facing Menopause with Curiosity High libido during menopause isn’t a phenomenon to avoid or suppress; it’s a natural part of life that signals change. Women are encouraged to approach this phase with curiosity and care. Engaging in conversations, seeking support, and making informed choices can turn what might be seen as a hurdle into an enriching opportunity for personal and relational growth.

02.20.2026

Understanding Low Vitamin D Levels: Impact on Gut Health and Menopause Insomnia

Update Exploring the Link Between Vitamin D Deficiency and Menopause Symptoms For many women navigating perimenopause and early menopause, changes in gut health can lead to newly insidious symptoms like insomnia. Recent discussions highlight the possible connection between low vitamin D levels, gut health, and menopause-related issues. Vitamin D not only plays a crucial role in bone health but may also influence other bodily functions, raising the question: how might this vital nutrient impact menopause during this pivotal life stage? The Essential Role of Vitamin D in Women's Health Vitamin D is pivotal for maintaining strong bones and overall health, especially during menopause. With decreased estrogen production in menopause, women often face increased risks for osteoporosis and cardiovascular issues. Research has indicated that women with low levels of vitamin D may be more susceptible to joint pain, mood disorders, and even sleep disruptions—all common complaints during menopause. The Gut-Health Connection: What You Need to Know Emerging evidence suggests that gut health is closely linked to overall wellness, including hormone regulation. During menopause, women may experience an array of digestive changes due to hormonal fluctuations. These changes can affect the gut microbiome, further complicating menopause symptoms like insomnia. Vitamin D may play a role here, as it helps in maintaining the gut lining's integrity, which is essential for nutrient absorption and hormonal balance. Vitamin D's Potential as a Sleep Aid During Menopause Insomnia is a challenge many women face during menopause. Studies suggest that adequate levels of vitamin D may be linked to better sleep quality, potentially alleviating some insomnia symptoms. While the mechanisms aren't fully understood, lower levels of this vitamin can be associated with disturbed sleep patterns. This connection emphasizes the importance of monitoring and maintaining sufficient vitamin D levels in midlife. What Women Can Do About It So, what steps should women take to manage their vitamin D levels? Health professionals often recommend getting vitamin D through a combination of safe sun exposure, food sources like fatty fish and fortified products, and possibly supplements. Regular blood tests can help in determining individual vitamin D levels. Consulting with a healthcare provider is essential to tailor a plan that aligns with personal health needs, particularly during menopause. Take Charge of Your Health Women undergoing perimenopause and menopausal changes have unique health considerations. Staying informed about the importance of vitamin D in mitigating symptoms, including those pesky insomnia struggles linked to gut health, is vital. By taking actionable steps to monitor and manage vitamin D levels, women can better navigate this transitional phase of life.

02.12.2026

Vaginal Dryness: Effective Solutions for Women in Menopause

Update Understanding Vaginal Dryness: Symptoms and Causes Vaginal dryness is a prevalent issue affecting many women, especially during the perimenopausal and menopausal stages of life. As estrogen levels decline, the vaginal tissues can become thinner and drier, leading to discomfort, painful intercourse, and even increased susceptibility to urinary tract infections. This condition, known scientifically as vulvovaginal atrophy (VVA), impacts the quality of life for approximately 50%–60% of postmenopausal women. It's essential for women to recognize these symptoms and not dismiss them as a natural aging process. What Are the Treatment Options for Vaginal Dryness? Fortunately, a variety of treatment options are available for women experiencing vaginal dryness. Initially, many find relief through over-the-counter vaginal moisturizers and lubricants designed to reduce friction during sex. Water-based lubricants are often recommended as they minimize the risk of irritation. In cases where symptoms are more severe, hormone replacement therapy (HRT) offers another avenue by replenishing declining estrogen levels, thereby restoring moisture to the vaginal walls. Targeted Treatments: Vaginal Estrogens Vaginal estrogens, administered in the form of creams, tablets, or rings, deliver localized treatment that minimizes systemic absorption of the hormone. This allows for targeted relief with fewer side effects, making it a popular choice among healthcare providers. Studies show that both local and systemic HRT options improve symptoms significantly, with local therapies demonstrating efficacy in around 80%–90% of cases. Innovative Solutions: MonaLisa Touch For women seeking alternatives to hormones, the MonaLisa Touch presents an innovative solution. This non-invasive laser therapy stimulates collagen production in the vaginal wall tissues, improving elasticity and hydration. The treatment is quick, with minimal discomfort and downtime, making it increasingly popular among women looking to regain vaginal health and intimacy without undergoing hormonal therapies. Consulting Professional Help It’s crucial that women experiencing symptoms of vaginal dryness seek medical advice. Misidentification of these symptoms can lead to ineffective treatment, worsening quality of life. A knowledgeable healthcare provider can guide women through various treatment options, tailoring a plan that suits their individual needs. Don't hesitate to book a telehealth consultation to discuss your options and find the right path toward relief. Take Control of Your Health Understanding and addressing vaginal dryness is a critical step for women navigating through menopause. With the right information and treatment options, it is possible to alleviate discomfort, enhance intimacy, and improve overall quality of life. Take the initiative today—speak with your healthcare provider and explore the best treatment strategies for your needs.

Terms of Service

Privacy Policy

Core Modal Title

Sorry, no results found

You Might Find These Articles Interesting

T
Please Check Your Email
We Will Be Following Up Shortly
*
*
*